«Косточка» большого пальца, как в народе называют вальгусное отклонение первого пальца стопы (hallux valgus), является одной из самых частых видов деформаций стопы и одной из самых частых причин обращения к ортопеду. Эта деформация может быть бессимптомной и вызывать лишь эстетический дискомфорт, а может быть связана с нарушением опоры на стопу и болями.
Основные причины: прогрессирование врожденного плоскостопия, неврологические заболевания, длительное ношение узкой обуви на высоком каблуке (увеличивает риск возникновения), врожденные особенности стопы (длинная первая плюсневая кость или дисплазия соединительной ткани).
Лечение
Безоперационное лечение заключается в подборе удобной обуви, коррекции плоскостопия путем подбора стелек, специальных ортезов, лечебной физкультуры. Однако безоперационное лечение часто оказывается неэффективным.
Принятие решения о хирургическом лечении должно быть тщательно взвешенным. Эстетическая хирургическая коррекция стопы широко распространена. В то же время пациент/пациентка должен помнить о возможных осложнениях (хотя и редких, но случающихся) и понять, что для улучшения эстетики рискует функцией стопы. Оперативное лечение по медицинским (не эстетическим) показаниям требуется пациентам с клиническими проявлениями (боль, воспаления, натоптыши и мозоли), а также пациентам, у которых деформация прогрессирует.
Принцип хирургической коррекции. Для коррекции деформации необходимо изменить форму первой плюсневой кости, а также длину всех остальных плюсневых костей, чтобы уменьшить риск возврата деформации в будущем. Это возможно лишь путем перепиливания костей и последующим скреплением специальными винтами. После операции пациент ходит в специальном ботинке для разгрузки переднего отдела стопы (чтобы уменьшить боль и снять нагрузку с фиксирующих кости винтов). Ходьба без специальной обуви возможна с 5-6 недели.


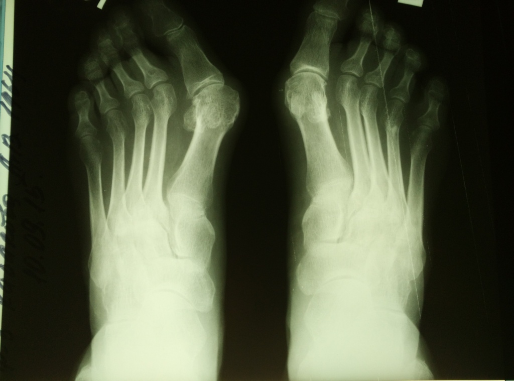
вид стопы пациентки и рентгенограммы до операции

Схема операции по исправлению деформации 1-го пальца правой стопы


результат после устранения деформации