Запись на консультацию:
+79256736256
пн-пт с 9:00 до 17:00

ПОВРЕЖДЕНИЯ И ЗАБОЛЕВАНИЯ,
КОТОРЫЕ МЫ ЛЕЧИМ:


Лечение заболеваний и повреждений кисти является одним из основных направлений деятельности отделения неотложной пластической и реконструктивной хирургии НИИ Скорой Помощи им Н.В. Склифосовского

Повреждения сухожилий пальцев
Повреждения сухожилий пальцев
Симптомом повреждения является невозможность активного (то есть без помощи другой руки) сгибания или разгибания пальца.
Состояния после ампутаций пальцев кисти
Состояния после ампутаций пальцев кисти
Ампутации пальцев кисти происходят при ранениях циркулярной пилой, размозжении прессом, отрыве кольцом и других подобных ситуациях.
Теносиновиит
Теносиновиит
Симптомами данного заболевания является боль при движениях пораженного пальца, наличие характерного звука («щелкающий палец»), ограничение движений.
Гигрома
Гигрома
Симптомом гигромы является появление в области сустава под кожей округлого образования, гладкого на ощупь. При сдавлении поверхностных чувствительных нервных волокон может отмечаться выраженный болевой синдром.
Контрактура Дюпюитрена
Контрактура Дюпюитрена
Симптомом контрактуры Дипьютрена является появление плотных тяжей на ладонной поверхности кисти ограничивающих разгибание пальцев.
Гипергидроз ладоней
Гипергидроз ладоней
Гипергидроз ладоней- это заболевание, проявляющееся повышенной потливостью и изменением окраски ладоней при эмоциональном напряжении, связанное по данным последних исследований с гиперчувствительностью гипоталамуса к эмоциональным стимулам из коры головного мозга.
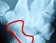
Переломы и несращения ладьевидной кости
Переломы и несращения ладьевидной кости
Переломы ладьевидной кости занимают особое место в группе повреждений кисти. Данные травмы часто остаются незамеченными, однако в дальнейшем приводят к тяжелым нарушениям функции кисти, резким болям в области запястья, ограничению движений.
Переломы костей кисти
Переломы костей кисти
Кисть является одной из наиболее часто травмируемых областей. Переломы костей в этой области приводят к тяжелым нарушениям функции и внешнего вида.



Свяжитесь с нами
ФИО*
E-mail*
Мобильный телефон*
Сообщение


Отделение множественной
и сочетанной травмы