Перелом кости - это медицинский термин, под которым понимается нарушение формы и целостности кости. Переломы у здоровых людей являются результатом мощного травматического воздействия, например, при дорожно-транспортных происшествиях или падении со значительной высоты (высокоэнергетические переломы). У людей с выраженным остеопорозом или заболеваниями костной системы переломы могут произойти в результате незначительной травмы (низкоэнергетические переломы). Чаще всего переломы костей верхних и нижних конечностей диагностируются у людей трудоспособного возраста в возрасте от 18 до 60 лет, преимущественно у мужчин.
При наличии переломов основными являются жалобы на боль, отек в области перелома и потерю функции поврежденной конечности. При выраженных смещениях отломков определяется необычная деформация конечности, крепитация костных отломков. В некоторых случаях определяются укорочение конечности, патологическая установка конечности и/или избыточная ее ротация.
Основной целью лечения переломов костей конечностей является максимальное восстановление функции поврежденной конечности с минимальными осложнениями (согласно Müller at al). При закрытых переломах, без смещения отломков, как правило, накладывают гипсовую повязку которая обеспечивает неподвижность конечности, что приводит к купированию болевого синдрома. При тяжелых многооскольчатых переломах со смещением отломков или при переломах с высокой вероятностью смещений прибегают к оперативным способам фиксации костных отломков. Современный остеосинтез костей конечностей – это применение малоинвазивных методик стабилизации костных отломков через небольшие кожные проколы металлическими фиксаторами с минимальной кровопотерей. При этом сохраняется кровоснабжение костных отломков, что является важным условием для сращения перелома в оптимальные сроки. Современные имплантаты для остеосинтеза обеспечивают надежную фиксацию переломов позволяющей в большинстве случаев давать полную нагрузку на конечность сразу после операции. Применение блокируемых цефаломедуллярных штифтов (скользящей пары), блокируемых солидных либо канюлированных интрамедуллярных штифтов для трубчатых костей конечностей, накостных пластин с угловой стабильностью и систем для их установки через минимальные разрезы (MIPO) позволяют эффективно выполнить эти задачи.
Применение современных методик остеосинтеза переломов костей позволяет восстановить функцию конечностей практически сразу после операции. Наличие сопутствующих повреждений мягких тканей поврежденной конечности, повреждений в других анатомических областях может потребовать помощи инструктора ЛФК для скорейшей реабилитации, освоения ходунков и костылей на начальном этапе. В конечном итоге современные технологии лечения позволяют пациентов с переломами конечностей в ранние сроки вернуть к полноценной жизни.

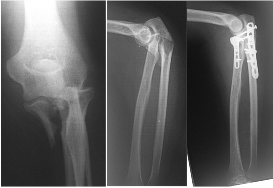
Реконструкция костей верхней трети предплечья пластинами

Реконструкция плевой кости штифтом

Остеосинтез бедренной кости штифтом типа гамма

Остеосинтез обеих лодыжек правой голени пластинами
Сросшийся перелом правой большеберцовой кости, состояние после остеосинтеза штифтом

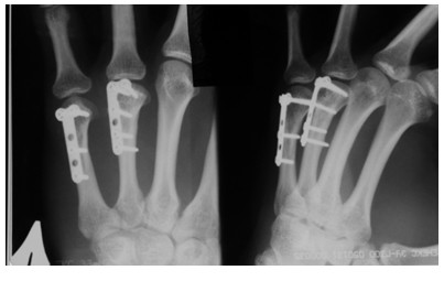
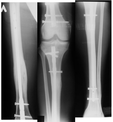
Рентгенограммы пациента со сросшимися переломами пястных костей, большеберцовой и бедренной костей после остеосинтеза

Функциональный результат у пациента со сросшимися переломами пястных костей, большеберцовой и бедренной костей после остеосинтеза