Несмотря на прогресс в травматологии и ортопедии около 5% от всех переломов конечностей не срастаются, что является одной и главных причин инвалидности. Наиболее часто несрастаются переломы ладьевидной кости, плечевой кости, большеберцовой кости.
В нашем отделении применяются наиболее современные методы лечения несросшихся переломов, такие как внутренний остеосинтез различиными конструкциями, рассверливание костно-мозгового канала, костная некровоснабжаемыми трансплантатми, пластика кровоснабжаемыми костными трансплантатами на сосудистой ножке. Применение этого комплекса лечебных мероприятий позволяет помочь пациенту с несросшимся переломом даже в самой тяжелой ситуации.
Приводим историю нашего пациента с несросшимся переломом плечевой кости. В течение 2-х лет перелом плечевой кости фиксированный штифтом не срастался. Пациент чувствовал боль в области плеча, не мог пользоваться рукой. На первом этапе лечения пациенту выполнено удаление штифта, резекция несращения, остеосинтез правой плечевой кости пластиной. Через 2 недели на втором этапе лечения пациенту выполнена пластика несращения васкуляризированным костным трансплантатом из медиального мыщелка бедра. После операции проводили лечебную физкультуру, физиотерапию. Через 4 месяца после операции отмечены признаки консолидации на рентгенограммах. Боли прошли. Пациент активно пользуется рукой, вернулся к работе.

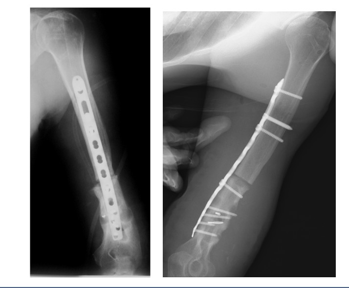
Пациент 29 лет. Диагноз: несросшийся перелом левой плечевой кости, состояние после остеосинтеза штифтом.

Пациент 29 лет. Диагноз: несросшийся перелом левой плечевой кости, состояние после остеосинтеза штифтом Этап 1: резекция несращения, остеосинтез пластиной.

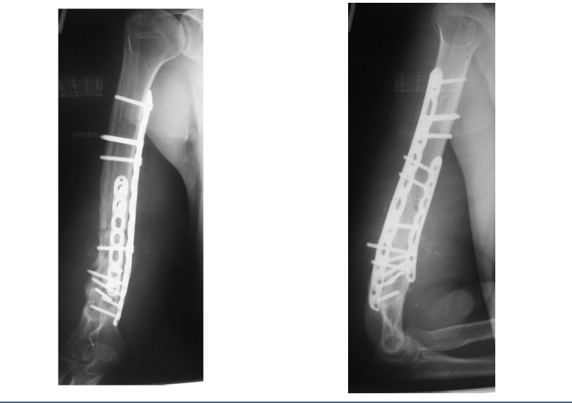
Этап 2: пластика несращения свободным реваскуляризированным костным трансплантатом из медиального мыщелка бедра, фиксация трансплантата пластиной.

Подключение костного лоскута к кровотоку с помощью микрохирургической техники

Рентгенограммы после операции по васкуляризированной костной пластике

Рентгенограммы через 6 месяцев после операции, перелом сросся

Функция верхних конечностей пациента через 6 месяцев после операции